Scottish Fold ırkı kedilerin doğduğu günden beri ağrılı bir hayat sürdüğünü biliyor muydunuz? Bugün sizlere bu kedilerin çok sakin, uyumlu ve hareketsiz olarak nitelendirilmelerinin asıl sebebinden bahsedeceğiz.
Scottish Fold ırkı kediler kırık kulakları ve uysallıklarıyla ön plana çıkan kediler olsalar da bunun arka planında bir hastalık yatmaktadır! Halk arasında Fold Sendromu olarak bilinen bu hastalığın asıl ismi kalıtsal osteokondrodisplazidir. Osteokondrodisplazi terimi kemik ve kıkırdakların anormal gelişimi olarak tanımlanabilir. Bununla birlikte Scottish Fold’lardaki osteokondrodisplazi hastalığı iskelet deformiteleri ile karakterizedir ve hasta kedilerde uzun süreli eklem ağrılarına sebep olur.

Hastalık nasıl ortaya çıkar?
Kedilerde kıkırdak ve kemik gelişimini önemli ölçüde etkileyen TRPV4 adı verilen bir gen bulunur. Bu genin mutasyonu sonucunda vücutta kıkırdak destekleyici mekanizma yetersiz kalır. Scottish Fold ırkı kedilerin katlanmış kulak görünümü bu mutasyon sonucu ortaya çıkar. Fakat bu mutasyon sadece morfolojik bir fark yaratmakla kalmaz, vücuttaki tüm kıkırdak yapıları etkileyen gelişimsel bir anormalliğe de yol açarak kalıtsal osteokondrodisplaziye sebep
olur. Böylece hem kulakta anormal bir görünüm ortaya çıkar hem de vücut eklemlerinde büyük deformiteler (şekil bozuklukları) şekillenir. Dolayısıyla katlanmış kulak görünümüne sahip bütün Scottish Fold ırkı kedilerin bu hastalıktan muzdarip olduğu söylenebilir.

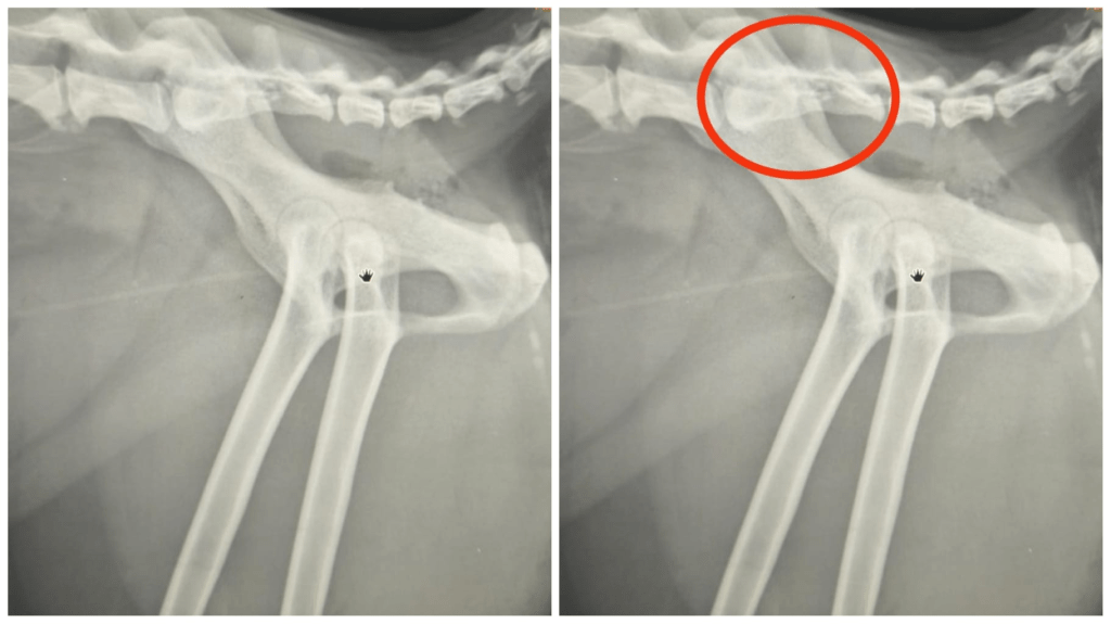
Hastalığın klinik bulguları/semptomları nelerdir?
Osteokondrodisplazi hastalığına sahip Scottish Fold ırkı kedilerin anamnezinde genellikle; hareket etmede ve zıplamada isteksizlik, (kıkırdaktaki disfonksiyon sebebiyle) yürüyüşte bozukluk, topallık ve genellikle (bir ağrı göstergesi olan) kambur vücut duruşu ön plana çıkan davranışsal semptomlardır. Bunların yanında kuyruk omurlarının kaynaşmasından dolayı esnekliğini yitiren kuyruk; sert, kısa ve kalındır. Bacak kemiklerindeki hücre çoğalması ve yeni kemik oluşumu sebebiyle deforme olmuş, kısa ve kalın bacaklar görülür. Aynı şekilde
deformasyona uğrayan ayak parmakları da şekilsiz bir pati görünümüne sebebiyet verir. Radyografik incelemede ise; distal ekstremitelerde ilerleyici yeni kemik oluşumu ve topuk kemiğinin plantar yüzeyinde kemik tümörü (ekzostoz) oluşumu gözlenir. Bu ekzostozlar eklem ankilozuna (eklem oynaklığının azalmasına) yol açabilir. Yaygın osteopeni (kemiklerin zayıflaması) de lezyonlara eşlik eder. Bazı kedilerdeki klinik tablo çok şiddetli ağrılara sebep olurken kimisinde daha hafif şiddetli klinik tablolar gözlenebilir.
Brittish Shorthair ve Scottish Fold çiftleştirilmesi ile osteokondrodisplazi hastalığının önüne geçilebilir mi?
Bu çiftleştirilme yöntemi ile hastalığın önüne geçildiği düşüncesi bir yanılgıdan ibarettir. Bu yöntem ile homozigot hastalık genine sahip bireyler yerine heterozigot gene sahip bireyler elde edilir. Heterozigot gene sahip bireyler bu hastalığı daha düşük şiddetle atlatırlar. Fakat bu durum doğacak bireylerin ömrü boyunca bu hastalığın mağduru olacağı gerçeğini değiştirmez.

Hastalığın tedavisi nasıldır?
Osteokondrodisplazi hastalığının kesin bir tedavisi bulunmamaktadır. Ancak semptomatik tedavi yapılarak kedinin çektiği ağrının azaltılması ve hayat kalitesinin arttırılması amaçlanabilir. Çok şiddetli olgularda geçici çözüm olarak cerrahi müdahaleler yapılabilir.
Ya çözüm?
Bu hastalığa sahip kediler doğdukları günden itibaren genellikle çok ağrılı bir hayat sürerler. İlerleyen süreçlerde daha fazla kedinin bu hastalıktan dolayı ağrılı bir hayata başlamasının önüne geçmek için tek bir çözüm yolu vardır: Scottish Fold ırkı kedilerin üretiminin durdurulması.
Bu blog yazısı, Vet. Hek. Esin HASTÜRK tarafından doğrulanmıştır.
KAYNAKÇA
Aktaş, M. (2022). Osteokondrodisplazi. Khedi Dergi (Kedi Hekimliği Derneği), 15, 2-3
Fujiwara-Igarashi A, Igarashi H, Hasegawa D, Fujita M. Efcacy and Complications of Palliative Irradiation in Three Scottish Fold Cats with Osteochondrodysplasia. J Vet Intern Med. 2015;29(6):1643–7. DOI: 10.1111/jvim.13614
Gandolf B, Alamri S, Darby WG, Adhikari B, Lattimer JC, Malik R, et al. A dominant
TRPV4 variant underlies osteochondrodysplasia in Scottish fold cats. Osteoarthr Cartil.
2016;24(8):1441–50. DOI: http://dx.doi.org/10.1016/j.joca.2016.03.019
Rorden C, Griswold MC, Moses N, Berry CR, Keller GG, Rivas R, et al. Radiographical
Survey of Osteochondrodysplasia in Scottish Fold Cats caused by the TRPV4 gene
variant. Hum Genet. 2021;140(11):1525–34.
Sartore, S. et al (2023) Osteochondrodysplasia and the c.1024G>T variant of TRPV4 gene
in Scottish Fold cats: genetic and radiographic evaluation. Journal of Feline Medicine and
Surgery 1–4. DOI: 10.1177/1098612X231211763
Takanosu M, Takanosu T, Suzuki H, Suzuki K. Incomplete dominant
osteochondrodysplasia in heterozygous Scottish Fold cats. J Small Anim Pract.
2008;49(4):197–9
Takanosu M, Hattori Y. Osteochondrodysplasia in Scottish Fold crossbreed cats. J Vet Med
Sci. 2020;82(12):1769–72. https://doi.org/10.1292/ jvms.20-0299
Velie, B., D. et al. An estimation of osteochondrodysplasia prevalence in Australian Scottish
Fold cats: a retrospective study using VetCompass Data. BMC Veterinary Research (2023)
19:252. DOI: https://doi.org/10.1186/s12917-023-03811-0





