Polikistik Böbrek Hastalığı (PBH), kedilerde PKD1 geninin mutasyonu sonucu ortaya çıkan, otozomal dominant, sistemik ve progresif bir genetik hastalıktır. İran kedilerinde sık rastlanan bu hastalık, aynı zamanda Norveç Orman kedisi, Exotic Shorthair, British Shorthair, American Shorthair, Maine Coon, Himalayan, Ragdoll, Burmilla, Neva Masquerade ve Charteaux kedi ırklarında ve bu ırkların kırmalarında da görülür. Bu risk grubundaki ırkların bilinçsiz ve kontrolsüz çiftleştirilmesi, PKD1 mutant geninin — dolayısıyla Polikistik Böbrek Hastalığı’nın — yayılmasının başlıca sebebidir.
Resim: PBH’ye sahip bir kedi [Norveç Orman Kedisi kırması]
PATOGENEZ:
PBH; böbreklerin korteks, medulla veya kortikomedüller bölgelerindeki renal parankim dokuda oluşan sıvı dolu kistler ile karakterizedir. Unilateral veya bilateral gelişebilen kistler, genellikle doğumdan itibaren böbreklerde mevcuttur; fakat yaş ilerledikçe sayıları ve çapları değişiklik gösterebilir.
Renal kistler böbrekteki sağlıklı dokuları sıkıştırarak zamanla tahrip eder. Bunun sonucunda hastada ilerleyen dönemlerde Kronik Böbrek Yetmezliği (KBY) gelişir.
PBH’ye sahip kedilerde çok nadir olmakla beraber böbreklere ek olarak karaciğer, pankreas, seminal veziküller ve araknoid membranda da kist oluşumu gözlenebilir. Hastalığa sahip kedilerin bu yönlerden de incelenmesi önerilmektedir.
Şekil: Sağdaki sağlıklı böbrek görüntüsü, soldaki PBH olan bir böbreğin görüntüsü
KLİNİK BELİRTİLER:
PBH’de hastalığın seyri genellikle sinsidir. Klinik belirtiler, hastalığın hastadaki seyrine bağlı olarak herhangi bir yaşta ortaya çıkabileceği gibi, hasta terminal döneme girene kadar asemptomatik olarak da ilerleyebilir. Belirti veren kedilerin genel yaş aralığı 3–10 yaş; ortalama belirti verme yaşı ise 7 olarak saptanmıştır.
Yaygın klinik semptomlar şunlardır:
- Kilo kaybı / Anoreksi
- Kusma
- Gastrointestinal problemler
- Dispne
- Halsizlik / Apati
- Kıl kalitesinde düşüş / Kürkte matlaşma
- Poliüri/Polidipsi
- Dehidrasyon
- Ödem
- Anemi
- Ağızda amonyak kokusu
- Üremik stomatit
- İleri vakalarda palpasyonda renomegali
PBH olan hastalar, genel bir böbrek yetmezliği tablosu çizdiği için yalnızca klinik belirtilere bakarak tanıyı koymak mümkün değildir.
Resim: İUC Veteriner Fakültesinde PBH teşis edilmiş iran kedisi kırması
TANI:
1.Rutin Kan Tahlilleri:
Hastanın takibinde kan tahlillerinin yapılması prognozun belirlenebilmesi ve tedavinin oluşturulabilmesi açısından önemlidir. Tanısal olarak önemi yoktur, hastada böbrek ile alakalı bir hastalık gelişmediyse herhangi önemli bir bilgi vermez.
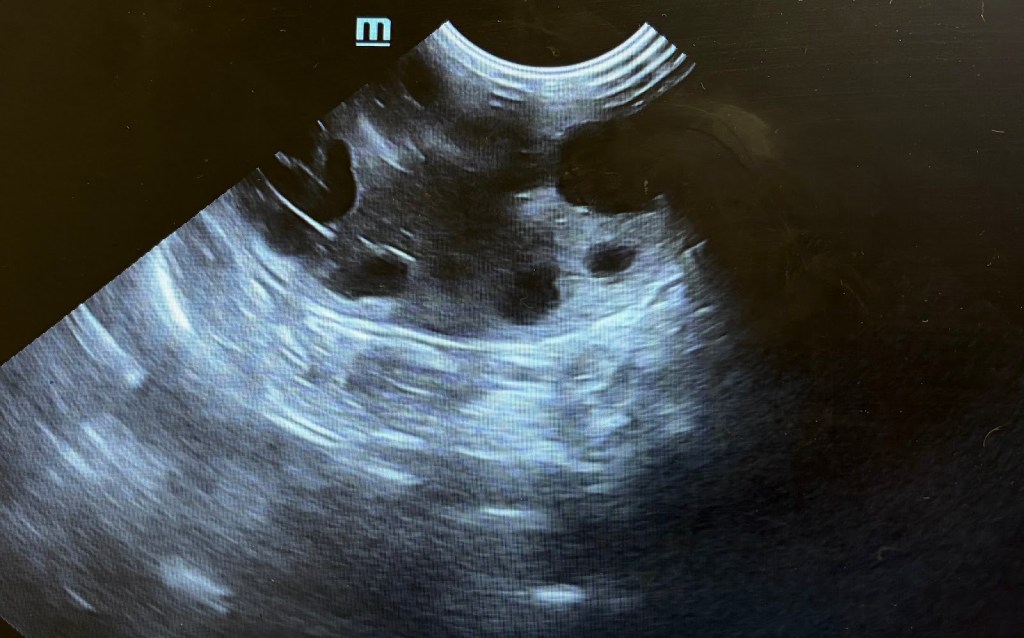
2. Ultrasonografi:
Hastalığın tanısında ve takibinde en sık kullanılan yöntem ultrasonografidir. Ultrason taramasında, en az bir böbrekte PBH ile karakterize olan en az bir adet yuvarlak şekilli, anekoik veya hipoekoik kist yapısı görülmesi, hekimin hastalıktan şüphelenmesini sağlar. Eğer yukarıda bahsedilen ırklardan bir kediyse PBH yönünden hekimi tarafından takibe alınır. Hastalığın ilk dönemlerinde kistlerin küçük ve az sayıda olduğu gözlenirken; ilerleyen dönemlerde görüntüde, böbreğin normal sınırlarını aşan ve şeklini bozan çok sayıda kist olduğu görülebilir. Ayrıca bu kedilerde nadir de olsa diğer organlarda da kistler oluşabileceği için o bölgeler de ultrasonografik olarak kontrol edilmelidir.
3.Genetik Testler:
PBH tanısında mutant PKD1 genini tespit eden Polimeraz Zincir Reaksiyonu (PCR) testleri de kullanılır; fakat genetik testlerin sonucu, hastalığın şiddeti veya evresi hakkında bilgi vermediği için ultrasonografi ile tamamlanması şarttır.
Bu erken tanı yöntemleri, hastada kronik böbrek yetmezliği gelişmeden önce PBH’nin saptanması ve hastalığın yönetimi açısından kritik öneme sahiptir.
Ultrasonda Polikistik Böbrek görüntüsü
TEDAVİ:
PBH’nin bilinen bir tedavisi yoktur; ancak erken tanı konulan kedilerde, hastalığın seyri böbrek sağlığın destekleyici tedavilerle kontrol altına alınabilir. Klinik semptomları göstermeye başlayan kedilerde ise palyatif tedavi yöntemleriyle hastanın yaşam kalitesi ciddi oranda artırılabilir
KORUNMA:
Ölümcül ve ciddi bir hastalık olan PBH’nin yayılımını önlemek adına yüksek risk grubundaki ırkların veteriner hekimince erken yaşlardan itibaren kontrolleri yapılmalı, PBH olduğu belirlenen kediler çiftleştirilmemeli ve kısırlaştırılmalıdır.
Bu blog yazısı Doç. Dr. Lora Koenhemsi tarafından onaylanmıştır.
KAYNAKÇA
https://tip.fusabil.org/text.php3?id=1214 Son erişim tarihi: 26.07.2025
Schirrer, L., Marín-García, P. J., & Llobat, L. (2021). Feline Polycystic Kidney Disease: An Update. Veterinary sciences, 8(11), 269. https://doi.org/10.3390/vetsci8110269 Son erişim tarihi: 26.07.2025
Bilgen, N., Bişkin Türkmen, M., Çınar Kul, B., Isparta, S., Şen, Y., Akkurt, M. Y., Çıldır, Ö. Ş., & Bars, Z. (2020). Prevalence of PKD1 gene mutation in cats in Turkey and pathogenesis of feline polycystic kidney disease. Journal of veterinary diagnostic investigation : official publication of the American Association of Veterinary Laboratory Diagnosticians, Inc, 32(4), 549–555. https://doi.org/10.1177/1040638720935433 Son erişim tarihi: 26.07.2025
Bonazzi, M., Volta, A., Gnudi, G., Bottarelli, E., Gazzola, M., & Bertoni, G. (2007). Prevalence of the polycystic kidney disease and renal and urinary bladder ultrasonographic abnormalities in Persian and Exotic Shorthair cats in Italy. Journal of feline medicine and surgery, 9(5), 387–391. https://doi.org/10.1016/j.jfms.2007.03.004 Son erişim tarihi: 26.07.2025
Bonazzi, M., Volta, A., Gnudi, G., Cozzi, M. C., Strillacci, M. G., Polli, M., Longeri, M., Manfredi, S., & Bertoni, G. (2009). Comparison between ultrasound and genetic testing for the early diagnosis of polycystic kidney disease in Persian and Exotic Shorthair cats. Journal of feline medicine and surgery, 11(6), 430–434. https://doi.org/10.1016/j.jfms.2008.10.003 Son erişim tarihi: 26.07.2025
Wills, S. J., Barrett, E. L., Barr, F. J., Bradley, K. J., Helps, C. R., Cannon, M. J., & Gruffydd-Jones, T. J. (2009). Evaluation of the repeatability of ultrasound scanning for detection of feline polycystic kidney disease. Journal of feline medicine and surgery, 11(12), 993–996. https://doi.org/10.1016/j.jfms.2009.07.002 Son erişim tarihi: 26.07.2025
GÖRSELLER
https://www.wellnessvet.com.hk/services/internal-medicine/polycystic-kidney-disease-pkd/
Case report: A novel occurrence of persistent left cranial vena cava coexisting with polycystic kidney disease in a cat – Scientific Figure on ResearchGate. Available from:https://www.researchgate.net/figure/Abdominal-ultrasound-images-of-a-polycystic-kidney-disease-A-Left-and-B-right-kidney_fig1_374498182 Son erişim tarihi: 27.07.2025





