Transmissible Venereal Tumor (TVT) is a tumor transmitted through the genital organs in dogs. It appears as a nodular, papillary, and multilobulated mass resembling cauliflower, attached to the area of the body where it develops. Its size can vary from a small 5 mm nodule to a large mass.TVT is a tumor type commonly seen worldwide. Its incidence is increasing, especially in tropical and subtropical urban environments, with reported cases in places such as the Bahamas, Japan, and India. It is mostly observed in stray dogs that mate freely or in dogs that come into contact with infected animals on the street. The tumor is usually transmitted during mating in young, sexually mature dogs. However, transmission can also occur through vaginal discharge, licking, or when male dogs sniff the vulva of infected females.

It is an infectious soft tissue cancer, and although it most commonly affects the external genital organs, it can also occur in the internal genital tract. The tumor can spread from one dog to another—or even to other body regions—through direct contact with the tumor mass. It can be transmitted to the oral, nasal, and conjunctival mucosa when a dog sniffs or comes close to the genital area of an infected animal.
Although the likelihood of occurrence increases in dogs with suppressed immune systems, metastasis is rare in this tumor type. However, when metastasis does occur, it is not limited to the genital organs. It may involve regional lymph nodes, kidneys, spleen, eyes, brain, skin, mesenteric lymph nodes, and the peritoneum.
The initial sign is typically a bloody discharge, which can sometimes be mistaken for epistaxis or hematuria. It may be wrongly assumed to be related to inflammation of the urinary tract, bladder, or prostate. In female dogs, this discharge can be misinterpreted by owners as a sign of estrus (heat).In some cases, the tumor mass is visibly apparent during a simple physical examination, as it can grow large enough to protrude from the genital area. The mass appears red, soft in texture, multilobulated, and cauliflower-like. In females, it may be located in the vagina, protruding from the vulva, in the perineal area including the anus, or—very rarely—in the uterus. In males, it may be found on the penis, on the preputial mucosa, or localized on the bulbus glandis that surrounds the penis.

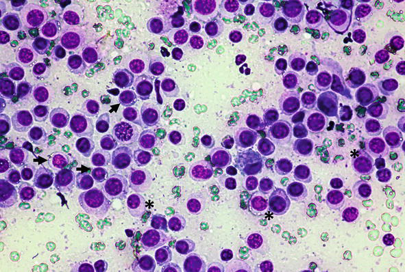
“The arrow indicates lymphocytic cell types, while the asterisk indicates plasmacytic cell types.”
If the tumor is not located in the genital organs, diagnosing TVT through clinical examination becomes even more challenging. However, the diagnosis can be confirmed through cytological examination of samples taken from the tumor and histopathological evaluation of biopsies, which reveal characteristic findings of TVT.
TVT is a benign but progressive type of tumor. In most cases, it responds well to chemotherapy treatment lasting 4 to 6 weeks. In rare cases where the tumor does not regress, surgical intervention may be required. This procedure should be followed by an additional course of treatment to reduce the risk of recurrence.
If you observe any bloody discharge in your dog, you should not ignore it and must consult a veterinary clinic promptly.
This blog post has been verified by Veterinarian Aslıhan BAYKAL
Pictures:
https://www.intechopen.com/chapters/82773
Sources:
Cohen, D. (1985). The Canine Transmissible Venereal Tumor: a Unique Result of Tumor Progression. Advances in Cancer Research, 75–112.
MSD Manual. “Canine Transmissible Venereal Tumor”. Son erişim tarihi: 14.03.2024





